50 岁的张大叔(化名)
原本生活顺遂美满
可一场突如其来的变故
打破了这份平静
!!!
2025年8月,晴天霹雳
2025年8月,张大叔出现反复咳嗽,去医院检查,竟然确诊为右肺鳞状细胞癌!
更棘手的是,肿瘤已经侵犯右主支气管,且分期偏晚,无法通过手术切除病灶。这对张大叔和家人来说,无疑是晴天霹雳。

2025年8月—12月,走错路
害怕放化疗的副作用,又想延续生命,一家人百般纠结后,决定选择中药保守治疗,寄希望于中药能稳住病情。

但单纯依靠中药治疗的3个多月里,张大叔的病情并没有得到控制,咳嗽加重,还伴随胸闷气短、精神萎靡、体力明显下降。
2025年12月中旬, 生死关头
2025年12月中旬,张大叔突然出现大咯血, 情况危急,紧急来到营山县人民医院肿瘤科治疗。
经检查,他的肿瘤完全没控制住——右肺病灶持续增大、形成厚壁空洞,支气管受累、纵隔淋巴结广泛转移,肿瘤持续进展,随时可能大出血、窒息危及生命。

主治医师李云瑶与家属充分沟通后,一家人终于下定决心:听医生的,做规范治疗!
2026年, 绝处逢生
无法手术的晚期癌症≠放弃生命!
肿瘤科团队首先针对患者的大咯血进行对症治疗。患者因对碘油过敏,无法行介入下止血治疗;同时因肿瘤与支气管相通,支气管镜下无法有效止血。团队遂予以多种药物联合治疗,经过十余天治疗,咯血症状显著缓解。

12月下旬,肿瘤科结合张大叔病情特点,为他制定了化疗联合免疫治疗的个体化方案。同时在第一疗程期间根据病情逐步调整用药方案,确保无肝功能损伤。
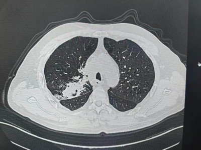
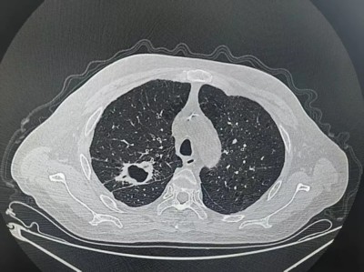
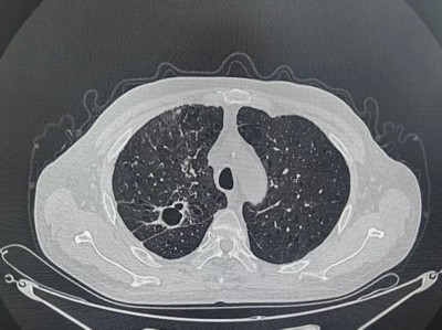
张大叔第一疗程治疗前后对比

治疗前

治疗第一个疗程后

治疗前

治疗第一个疗程后
2026年1月下旬,第一疗程顺利结束,复查影像显示:肿瘤较治疗前明显缩小,咳嗽频率减少,未出现咯血症状。

张大叔正在热疗
2月第二个疗程顺利进行,张大叔全程无明显不良反应,身体耐受良好,症状持续改善,精神、体力逐步恢复。
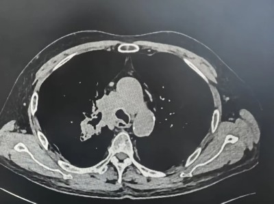
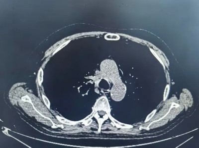
张大叔第三疗程治疗前后对比

治疗第一个疗程后

治疗第三个疗程后
3月下旬,顺利完成第3疗程治疗。复查结果令人振奋:肿瘤显著缩小,侵犯右主支气管的病灶大幅退缩,生活质量明显提升。

现 在
张大叔正按计划在肿瘤科进行第四疗程治疗
还特地带了一面锦旗
上书 “医术精湛祛顽疾,仁心妙药暖人心”
亲手送到邓小飞主任及李云瑶医生手中
用最朴实的方式表达感激
从最初绝望放弃、盲目调理
到如今肿瘤明显缩小、身体日渐康复
张大叔不仅重获健康希望
更真切感受到科学治疗与
医者仁心带来的温暖与力量

(责任编辑:林海南)