急诊惊心:“典型”症状下暗藏“非典型”危机
近日,年近七旬的李大爷(化名),连续两天被莫名的右下腹疼痛困扰,他猜想“难道犯了阑尾炎”?半夜实在疼痛难忍,遂紧急就医。
急诊转普外一科住院后,魏嵩医生为其查体发现有明确的“麦氏点”压痛、反跳痛和肌紧张——这是教科书般典型的急性阑尾炎体征。但腹部鼓胀,触摸有硬质块,是否有其他病因?

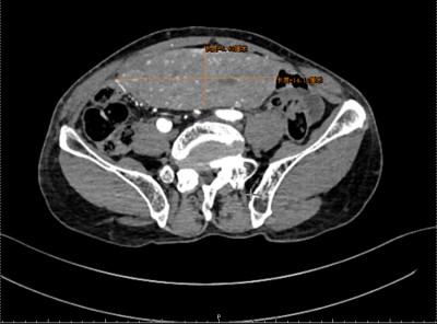
魏嵩为其完善检查进一步明确诊断,腹部增强CT结果证实:阑尾未见明确异常,但于腹盆腔内见一直径约15厘米的巨大占位性病变。
该病灶内部伴出血,并与肠系膜血管、膀胱、右半结肠及部分小肠广泛粘连、分界不清,已对周围脏器及血管形成显著压迫。整个影像学表现提示其侵袭性强,手术难度及风险极高!
抽丝剥茧:多学科会诊(MDT)制定精准方案
病情急转直下!
这是什么肿瘤?良性还是恶性?与周围脏器关系如何?
普外一科团队立即与影像科、肿瘤科、麻醉科、ICU专家进行多学科会诊,初步判断间质瘤可能性较大,体积如此巨大,且已有自发性破裂出血,必须立即行手术探查与切除!
经过周密的术前讨论和应急预案制定,一场高难度的“拆弹”手术即将开始。
刀尖博弈:高难度手术中的“毫厘拆弹”
手术由张超副院长主刀,李大爷的“腹腔探查术+腹盆腔巨大肿物切除术”顺利实施。术中发现肿瘤直径15*6.5cm,表面暗红色渗液,自发破裂,腹腔积血约200ml。
这不仅是增加出血性休克风险,更意味着:肿瘤细胞及其破碎组织在腹腔内播散,极大增加了术后复发的风险。
手术难度陡然升级
肿瘤巨大,血中拆弹,视野受限!
多处组织致密粘连,界限不清
分离困难!


张超带领手术团队沉着应对,凭借精湛的技术和丰富经验,于方寸之间精细操作——暴露视野、控制出血、分离粘连、结扎肿瘤血管、完整剥离!经过约2小时的紧张奋战,手术成功!生命警报解除!
经过一周的对症治疗和悉心护理,李大爷无任何术后并发症出现,病情恢复,出院居家康养。
出院时,李大爷肚子小了一大半。“几年来肚子慢慢长大,亲戚朋友还都笑说我越来越有‘老板像’了,真没想到长了个要命的肿瘤,要是早点来检查就好了。”李大爷后悔不已。
医生提醒
“啤酒肚”里摸到硬块?警惕或是肿瘤信号!
根据病理报告显示,患者李大爷腹腔内巨型肿瘤确诊为胃肠道间质瘤。
该肿瘤源于消化道的间叶组织,由具有多向分化潜能的原始间质干细胞发展而来,是一类具有潜在恶性生物学行为的肿瘤。间质瘤危险分级标准基于肿瘤大小及核分裂数目。
临床表现:该病发病年龄多为50~70岁,临床症状多变,从无症状到非特异性的胃肠道不适、腹痛或触及包块等。临床表现与肿瘤大小、发生部位、与胃肠壁关系及良恶性有关。可有以下常见症状:吞咽困难,腹部不适,进食梗阻,腹痛,排便习惯改变等。
治疗:间质瘤的主要扩散途径是血行转移。早期发现间质瘤,早期干预治疗显得尤其重要。手术切除是治疗间质瘤的首选方法。
临床数据显示,腹腔肿瘤具有极强的隐匿性特征,患者从出现症状到确诊平均延误6-8个月。
营山县人民医院副院长、普外一科学科带头人张超提醒:
01腹痛原因千千万,鉴别诊断是关键。并非所有右下腹痛都是阑尾炎,也并非所有腹部肿块都能被轻易察觉。
02触及腹部硬块应视为红色警报。区别于脂肪的绵软触感,肿瘤质地多为坚实固定状态。
健康小贴士
牢记“两摸三看”
给肚子做个"健康自检"
晨起空腹摸硬度(质地异常及时就医)
夜间平躺摸形状(不规则凸起需警惕)
月看腰围增长(非渐进性增粗要当心)
季看排便状况(持续异常别拖延)
年看体检影像(彩超CT不能省)
(责任编辑:林海南)